Виниры: секреты голливудской улыбки
Красивая улыбка сегодня стала необходимостью: ровные белые зубы – обязательное условие привлекательности. Тем же, кто не обладает такими зубами от рождения, на помощь приходят стоматологи. Сегодня для реставрации зубов используются не только протезы и коронки, но и виниры – специальные накладки на поверхности зубов для придания им правильной формы и красивого цвета.

Что такое виниры
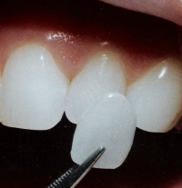
Винирами называются тонкие (толщиной менее миллиметра) пластинки из композитных пломбировочных материалов или керамики. Эти пластинки приклеиваются к зубу. От коронок виниры отличаются тем, что прикрывают зуб только с одной или с двух сторон, а не целиком.
Виниры позволяют замаскировать неправильную форму зубов или их некрасивый оттенок. В некоторых ситуациях, например, если отбеливание не дает нужного результата или реставрация зубов по какой-то причине невозможна, виниры – самый простой способ сделать улыбку красивой. Такие накладки в большинстве случаев используются для того, чтобы сделать передние зубы эстетически привлекательными. Они успешно скрывают слишком широкие щели между зубами, дефекты окраски, неправильную форму.
Список показаний к использованию виниров достаточно широк.
Это и так называемые «тетрациклиновые» зубы, и зубы, изменившие окраску в результате стоматологических манипуляций, и клиновидные дефекты, и слишком широкие щели между зубами, и зубы неправильной формы или повернутые по оси.

Разновидности виниров
Виниры бывают керамические и композитные. Керамические виниры, которые называют также ламинатами, изготавливают в зуботехнических лабораториях по слепкам зубов. Предварительно зубы слегка обтачиваются с тех сторон, где предполагается крепление виниров. Накладки из керамики обычно используются в случаях, если необходимо восстановить сразу несколько зубов. Такие виниры прочны и долговечны, они могут прослужить даже более десяти лет, причем со временем их оттенок не меняется.
Керамические виниры могут быть фарфоровыми или циркониевыми. Фарфоровые виниры, в свою очередь, могут быть изготовлены из прессованного или непрессованного фарфора: прессованные виниры прочнее, они служат дольше. Циркониевые виниры представляют собой накладки из диоксида циркония с нанесенным сверху слоем фарфора. По прочности они сравнимы с винирами из прессованного фарфора, а цена их немного выше.
Композитные виниры хороши тем, что их можно установить очень быстро – за одно посещение стоматолога. Сначала врач стачивает слой эмали, а затем покрывает поверхность тонкими слоями композитного пломбировочного материала. Этот метод близок к обычной реставрации зубов у стоматолога. Такой винир «быстрого приготовления» может прослужить от трех до пяти лет.
Композитные виниры, изготовленные по оттискам в зуботехнической лаборатории, получаются более надежными и долговечными. Но для их установки стоматолога придется посетить уже дважды. По качеству композитные накладки на зубы несколько хуже фарфоровых, кроме того, со временем они часто изменяют цвет. Зато стоимость таких виниров примерно вдвое ниже, чем стоимость фарфоровых накладок.
Для установки обычных виниров требуется предварительное обтачивание зубов.
Обойтись без обточки возможно при использовании люминиров – супертонких виниров из фарфора толщиной до 0,3 миллиметра. Люминиры по своей прочности немного уступают обычным винирам из керамики, а также всегда могут скрыть дефекты цвета зубов, поскольку тонкий фарфор полупрозрачен. Кроме того, люминиры немного увеличивают зубы в объеме, что, впрочем, обычно не доставляет пациентам никаких неудобств.

Противопоказания
Устанавливать виниры можно не всем. Например, накладки нельзя делать на больные зубы: кариес, пародонтит и остальные заболевания нужно предварительно вылечить. Кроме того, в список противопоказаний входят:
- Бруксизм – привычка сильно стискивать зубы или скрипеть ими (в том числе и во сне);
- Неправильный прикус (прямой или же обратный);
- Высокая вероятность травм (например, при увлечении экстремальными видами спорта, единоборствами);
- Патологическая стираемость зубов;
- Сильное разрушение зуба, пломба на внутренней стороне зуба, крупные пломбы, ослабление зубов. В таких ситуациях винир станет слишком большой нагрузкой для зуба, лучше поставить обычную коронку;
- Недостаточность эмалевого покрытия. В ситуации, если зубная эмаль частично или полностью разрушена, крайне сложно надежно закрепить винир на поверхности зуба.
Если необходимо отреставрировать большое количество зубов, то можно сочетать виниры с коронками: последние можно обычно устанавливать даже на те зубы, которым накладки противопоказаны. Если коронки и виниры изготовлены из одного материала, то разница не будет заметна.
Необходимо учитывать, что обтачивание требуется как перед первичной, так и перед повторной установками виниров. В случае, если пациент захочет отказаться от использования накладок, потребуется восстановление эмали, утраченной в результате обтачивания.

Уход за винирами
Виниры достаточно прочны, но все-таки относиться к ним следует бережно. Например, придется отказаться от привычек разгрызать твердые предметы, открывать зубами бутылки или грызть карандаши. Кроме того, необходимо регулярно посещать стоматолога и тщательно чистить зубы дважды в день, не забывая пользоваться зубной нитью.
Следует воздержаться от употребления продуктов, которые обладают красящими свойствами. К таким продуктам относятся красное вино, кофе, какао, чай, леденцы и газированные напитки ярких оттенков. Конечно, полностью от любимых блюд и напитков отказываться необязательно, но после их употребления необходимо хорошо чистить зубы, чтобы виниры не изменили свой оттенок.
Мария Быкова



